
| Günler | Saatler |
|---|---|
| Pazartesi – Cuma | 09.00 – 18.00 |
| Cumartesi | 09.00 – 17.00 |
| Pazar | 09.00 – 16.00 |

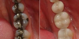
Amalgam Dolgular Kompozit Dolgular...
Hakkında
Sabit protezler Hareketli protezler...
Hakkında
Periodontal tedaviler...
Hakkında
Kanal tedavisi...
Hakkında
Diş Beyazlatma (Bleaching)...
Hakkında
Diş Çekimi Diş hekimliğinde, bilimsel ve teknolojik gelişmelere p...
Hakkında
Ortodontik tedaviye başlamadan önce ağzında hiçbir çürük diş ...
Hakkında
Süt dişleri tedavi edilmeli mi? Süt dişleri de tıpkı kalıcı di...
Hakkında
Oral diagnoz, diş hekimliğinde ağız hastalıklarının ve ağızda...
Hakkında